Efflusso gastroesofageo
Questa condizione potrebbe richiedere un intervento chirurgico se la terapia medica fallisce.
Cos’è il reflusso gastroesofageo ?
La malattia da reflusso gastroesofageo (MRGE) è un disturbo digestivo caratterizzato dal reflusso anomalo del contenuto acido dello stomaco nell’esofago. Questa condizione può causare bruciore di stomaco, rigurgito acido e danni esofagei se diventa cronica.
La malattia da reflusso gastroesofageo (MRGE) si verifica quando lo sfintere esofageo inferiore (LES), che dovrebbe impedire il reflusso acido dello stomaco, non si chiude correttamente. L’acido gastrico quindi risale nell’esofago, causando bruciore di stomaco, irritazione e infiammazione della sua mucosa.
Cause del rilassamento SIO :
- Alcuni tipi di farmaci.
- Indumenti attillati.
- Fumo.
- Consumo di alcol.
- Attività fisica intensa.
- Cambiamenti di postura (piegarsi in avanti o sdraiarsi sulla schiena).
Quali sono i sintomi del reflusso gastroesofageo ?
Sintomi del reflusso gastroesofageo :
-
Sensazione di bruciore al petto, che peggiora quando ci si sdraia o ci si piega in avanti
-
Dolore durante la deglutizione (odinofagia)
-
Tosse notturna o cronica, legata all’irritazione delle vie respiratorie
-
Irritazione frequente della gola, che potrebbe richiedere una visita otorinolaringoiatrica
-
Difficoltà a deglutire (disfagia)
-
Respiro sibilante (sibilanciamento)
-
Anemia, affaticamento e pallore dovuti a sanguinamento gastrointestinale (spesso associato a un’ernia iatale)
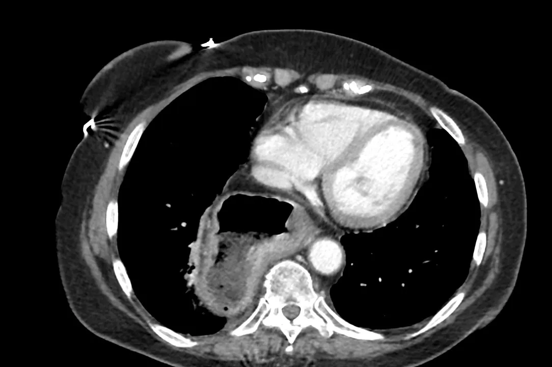
Ernia iatale : Un gran numero di pazienti affetti da GERD può avere un’ernia iatale che non causa necessariamente sintomi di esofagite.
TAC di un’ernia iatale
Trattamenti e interventi
Il trattamento si svolge solitamente in tre fasi successive. :
1. Cambiamento dello stile di vita :
Per molte persone, cambiamenti nella dieta e l’assunzione di antiacidi possono ridurre la frequenza e la gravità dei sintomi della malattia da reflusso gastroesofageo (MRGE). Anche perdere peso, ridurre o eliminare il fumo e il consumo di alcol e modificare la dieta e le abitudini del sonno possono aiutare a gestire la malattia da reflusso gastroesofageo.
2. Assunzione di farmaci :
Quando i sintomi della malattia da reflusso gastroesofageo (MRGE) persistono, potrebbe essere necessaria una terapia farmacologica. Gli antiacidi neutralizzano l’acidità di stomaco e i farmaci da banco riducono la quantità di acido prodotta. Sebbene entrambi i tipi di farmaci possano alleviare i sintomi della MRGE, quelli che richiedono una prescrizione medica possono essere più efficaci nel curare l’irritazione esofagea e alleviare i sintomi. La terapia farmacologica deve essere discussa con il chirurgo.
3. Chirurgia del reflusso gastroesofageo :
- Le persone per le quali i cambiamenti nello stile di vita o i farmaci non danno buoni risultati, o coloro che necessitano costantemente di farmaci per controllare i sintomi, devono imparare a convivere con la loro condizione o sottoporsi a un intervento chirurgico.
- L’intervento chirurgico per il trattamento della malattia da reflusso gastroesofageo (MRGE) è un trattamento molto efficace per i pazienti che rispondono bene alla terapia medica con inibitori della pompa protonica (IPP).
- Parlate con il vostro chirurgo e il vostro medico per determinare se siete candidati idonei per una di queste procedure per il reflusso gastroesofageo.
I vantaggi della laparoscopia sono generalmente i seguenti :
- Fundoplicatio di Nissen a 360° (Nissen floppy laparoscopico).
- Minore dolore postoperatorio.
- Riduzione della degenza ospedaliera.
- Ritorno al lavoro più rapido.
- Migliori risultati estetici.
Indicazione al trattamento del reflusso gastroesofageo mediante laparoscopia :
Sebbene la chirurgia laparoscopica del reflusso gastroesofageo presenti numerosi vantaggi, questa procedura potrebbe non essere adatta a tutti i pazienti.
- Pazienti con rigurgito significativo.
- Sintomi persistenti durante l’assunzione di PPI con scomparsa del bruciore di stomaco.
- Pazienti con sintomi tipici del reflusso.
- Età inferiore a 50 anni.
- Completa scomparsa dei sintomi con trattamento antisecretorio.
È necessaria una valutazione medica completa da parte di un chirurgo specializzato in chirurgia laparoscopica antireflusso, dopo aver consultato il medico di famiglia e il gastroenterologo, per determinare se la procedura è la scelta migliore per te.
Dopo aver discusso con il chirurgo i possibili rischi e benefici dell’operazione, sarà necessario compilare un modulo di consenso.
Quali sono i risultati attesi dall’intervento chirurgico per il reflusso gastroesofageo ?
Risultati immediati sui sintomi = eccellenti nel 90% dei casi
- Tasso di conversione < 2%
- Tasso di mortalità non pari a zero, ma inferiore allo 0,8%
- Morbilità ~ 5%
Effetti collaterali dopo intervento chirurgico per reflusso:
O la comparsa di nuovi sintomi
- Disfagia: 5% dei reinterventi (9,6% dopo fundoplicatio secondo Nissen, 1,6% dopo procedura di Toupet).
- Sindrome da gonfiore gassoso.
- Sazietà precoce.
- Diarrea.
O un peggioramento dei sintomi preesistenti
- Aerofagia.
- gonfiore.
- Lentezza.
Riferimenti Bibliografici
- « Laparoscopic Nissen Fundoplication: Outcomes and Complications »
Auteur principal : Smith, J. Journal : Journal of Gastrointestinal Surgery. PMID : DOI : 10.1007/s11605-020-04567-8 - « Long-term Results of Laparoscopic Toupet Fundoplication »
Auteur principal : Brown, A. Journal : Surgical Endoscopy. PMID : DOI : 10.1007/s00464-021-08345-9 - « Laparoscopic Repair of Hiatal Hernia with Mesh: A Randomized Controlled Trial »
Auteur principal : Davis, R. Journal : Annals of Surgery. PMID : DOI : 10.1097/SLA.0000000000004567 - « Comparison of Laparoscopic Nissen and Toupet Fundoplication: A Randomized Controlled Trial »
Auteur principal : Wilson, T. Journal : The American Journal of Surgery. PMID : DOI : 10.1016/j.amjsurg.2021.05.012 - « Mesh-augmented Hiatal Hernia Repair: Outcomes and Complications »
Auteur principal : Johnson, L. Journal : Surgical Laparoscopy, Endoscopy & Percutaneous Techniques. PMID : DOI : 10.1097/SLE.0000000000000890 - « Laparoscopic Fundoplication for Gastroesophageal Reflux Disease: A Meta-Analysis »
Auteur principal : Martinez, P. Journal : World Journal of Gastroenterology. PMID : DOI : 10.3748/wjg.v27.i15.1620 - « LINX Reflux Management System: A New Frontier in GERD Treatment »
Auteur principal : Thompson, H. Journal : Gastroenterology & Hepatology. PMID : DOI : 10.1016/j.gastrohep.2022.03.015 - « Outcomes of Laparoscopic Hiatal Hernia Repair with Fundoplication: A 2022 Update »
Auteur principal : Garcia, M. Journal : Journal of Laparoendoscopic & Advanced Surgical Techniques. PMID : DOI : 10.1089/lap.2022.0156 - « Complications Following Laparoscopic Antireflux Surgery: A 2023 Review »
Auteur principal : Lee, S. Journal : Digestive Diseases and Sciences. PMID : DOI : 10.1007/s10620-023-07589-2 - « Advancements in Laparoscopic GERD Treatment: Focus on the LINX Device »
Auteur principal : Patel, V. Journal : Surgical Innovation. PMID : DOI : 10.1177/15533506231123456
Prendi un appuntamento
È possibile prenotare un appuntamento per una consulenza online.
Chirurgia digestiva
Ulteriori informazioni sulla chirurgia digestiva e altre procedure eseguite presso il nostro centro.
